There are two types of people in the world. The type who thoughtlessly store their toothbrushes out in the open, in the same bathroom that harbours a faecal-matter-spewing toilet (gross, right?), and… [+5257 chars]
Researchers say the fluorescent probe can track how tumors are responding to the drugs, which harness the body’s immune system to fight disease. The light-sensitive technology is able to detect whic… [+1792 chars]
Nonstick pans are useful kitchen items. Our senior food and beverage editor Claire Lower wont cook an over-easy egg or a thin pancake without one. But do you need to worry about the coating being bad… [+3072 chars]
Credit: Pixabay/CC0 Public Domain Following his success eradicating a major source of malaria, technology created by a University of South Florida public health researcher is being implemented by in… [+4137 chars]
Systemic lupus erythematosus (SLE) is tough to diagnose. Its symptoms are vague and overlap with rheumatoid arthritis (RA), leaving patients as well as medical experts confused. Moreover, there is no… [+1962 chars]
News New Australian research finds post-hospitalisation text messaging program can help improve lifestyle risk factors for heart attack survivors. Text messages had a positive impact on lifestyle b… [+3491 chars]
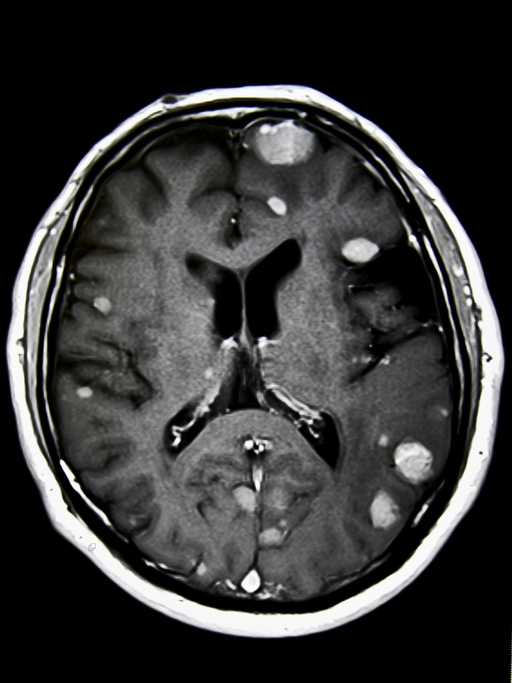
May 10, 2022 A new clinical guideline from the American Society for Radiation Oncology (ASTRO) provides guidance on the use of radiation therapy to treat patients with brain metastases. Evidence-bas… [+7507 chars]
TUESDAY, May 10, 2022 (HealthDay News) -- Exposure to potentially harmful chemicals is on the rise among pregnant women in the United States, a new study warns. "This is the first time we've been ab… [+2795 chars]
Credit: Pixabay/CC0 Public Domain Following his success eradicating a major source of malaria, technology created by a University of South Florida public health researcher is being implemented by in… [+4137 chars]
A COMMON painkiller has been dubbed the "most dangerous over the counter drug". Acetaminophen - better known as paracetamol or Tylenol - has been linked with cases of liver failure in the US. Aceta… [+2680 chars]
Noosa resident Jo Yates was diagnosed with low-grade serous ovarian cancer in 2021 at age 42. Shes sharing her story as part of a global campaign by research charity Cure Our Ovarian Cancer to rais… [+2829 chars]
Neuroscientists from Nanyang Technological University, Singapore (NTU Singapore), University of Pennsylvania, and California State University, have established the existence of a biological differenc… [+6152 chars]