A new gel that contains DNA shows promise in helping people with "butterfly disease," a condition in which the skin erupts in blisters when placed under the slightest pressure, even a light touch. … [+3530 chars]
Cat lovers who are allergic could soon have a gene-edited pet which does not make them sneeze. Up to 15 per cent of people suffer symptoms such as red eyes when near felines. But scientists have co… [+1107 chars]
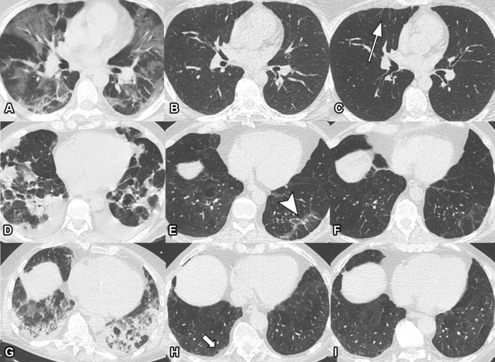
March 29, 2022 Some people recovering from COVID-19 pneumonia have CT evidence of damage to their lungs that persists a full year after the onset of symptoms, according to a new study published in t… [+3860 chars]
There could be more species of horseshoe bat than previously thought.Credit: Chien Lee/Nature Picture Library A genomic analysis suggests that there are probably dozens of unknown species of horsesh… [+4066 chars]
Bowel cancer is a general term for cancer that begins in the large bowel. Epigenetic clocks have been associated with cancer risk in several observational studies. Nevertheless, it is unclear whether… [+4014 chars]
If you need another reason to make sure you're getting a decent amount of shut-eye each night, a new study found insufficient sleep is linked with an increase in fat accumulation especially unhealthy… [+3737 chars]
Attention Deficit Hyperactivity Disorder, or ADHD, is a psychiatric pathology for which diagnosis has increased exponentially over the last 20 years. In fact, current estimates suggest that this diso… [+5001 chars]
Headaches such as migraine are among the leading causes of morbidity worldwide, but most treatments provide only partial relief. While scientists know that migraine and related headaches are caused b… [+3463 chars]
(MENAFN- IANS) London, March 29 (IANS) Though SARS-CoV-2, virus causing Covid-19, majorly causes infections of the respiratory tract, it also affects other organs of the human body such as the eyes… [+3429 chars]
Use of disinfectants by pregnant women may be a risk factor for asthma and eczema in their children, finds a population study, published online in Occupational & Environmental Medicine. Disinfec… [+3173 chars]
You may have heard the term gut health and wonder what it means surely a healthy gut is just one that digests your food effectively? While this is true, gut health has an impact on the health of your… [+7564 chars]
Just over two years into the COVID-19 pandemic, experts are still unraveling the mysterious impacts the coronavirus has on almost every part of the body from the heart, lungs, and brain to the eyes, … [+6364 chars]